قدرتمندترین دستگاه MRI جهان اولین اسکن مغزی خیرهکننده را ثبت کرد.
به گزارش رسانه مدیاتی، قدرتمندترین دستگاه MRI جهان با اسکن مغز انسان زنده شروع به اثبات ارزش خود کرده است. تصاویر به دست آمده یک نگاه اجمالی با وضوح فوقالعاده بالا به مغز میدهند که به ما در درک بهتر ماهیت هوشیاری و درمان بیماریهای عصبی کمک میکند.
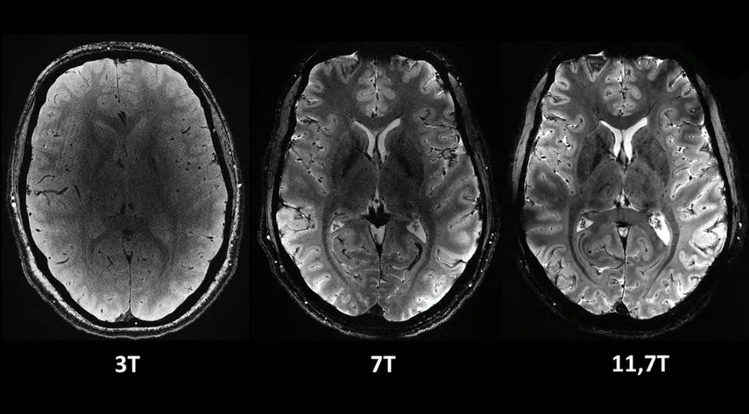
دستگاه Iseult MRI که توسط کمیسیون انرژیهای جایگزین و انرژی اتمی فرانسه (CEA) توسعه یافته است، دارای قدرت میدان مغناطیسی 11.7 تسلا (T) است. در مقایسه، دستگاههای MRI معمولی که امروزه در بیمارستانها به طور گسترده مورد استفاده قرار میگیرند، معمولاً 1.5 یا حداکثر 3 T هستند.
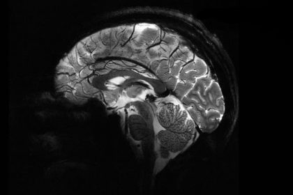
مزیت اصلی این قدرت اضافی این است که میتوان تصاویری با وضوح بسیار بالاتر از مغز را بسیار سریعتر گرفت. تنها در چهار دقیقه، Iseult میتواند تصاویری تا 0.2 میلیمتر از بافت مغز را به صورت افقی، در برشهایی به ضخامت 1 میلیمتر ثبت کند. این حجم معادل چند هزار نورون در یک زمان است.
برای اینکه دستگاههای MRI معمولی بتوانند عکسهایی با این وضوح بگیرند، بیماران باید بیش از دو ساعت کاملاً ثابت دراز بکشند، که در این زمان هم کوچکترین حرکت عکس را تار میکند.
همچنین سوراخی با عرض 90 سانتیمتر وجود دارد که بیماران میتوانند سر خود را در آن بچسبانند و سبب افزایش راحتی آنها میشود. ممکن است این افزایش نسبت به 60 تا 70 سانتیمتر معمولی به نظر نرسد، اما فضای سر اضافی میتواند به کاهش کلاستروفوبیک بودن این تجربه کمک کند.
تصاویر مقایسه ای از مغز انسان که با دستگاه جدید Iseult MRI در سطوح مختلف قدرت گرفته شده است. همه این تصاویر در مدت زمان یکسانی گرفته شدهاند و نشان میدهد که چقدر میتوان جزئیات بیشتری را با آن گرفت.
بیشتر بخوانید: محققان فرانسوی: خطر ابتلا به تومور مغزی با مصرف بلندمدت داروهای هورمونی زنان
Iseult چند سال پیش روی کدو تنبل آزمایش شد، اما اکنون اولین مغز انسان خود را که متعلق به 20 داوطلب سالم است، اسکن کرده است. این تصاویر خیرهکننده پتانسیل فناوری جدید MRI را نشان میدهد تا اطلاعاتی را که قبلاً دستنیافتنی بود، در مورد نحوه عملکرد مغز از جمله نحوه رمزگذاری بازنماییهای ذهنی و علائم عصبی مرتبط با خودآگاهی را نشان دهد.
علاوه بر این سوالات وجودی، Iseult همچنین باید به دانشمندان در درک، تشخیص و درمان بیماریهای عصبی مانند آلزایمر و پارکینسون کمک کند. باید بتواند علائم شیمیایی را که معمولاً خیلی ضعیف هستند و با اسکنهای MRI معمولی دیده نمیشوند، از جمله مولکولهایی مانند گلوکز و گلوتامات، که در متابولیسم مغز نقش دارند و اختلالاتی که میتوانند در شرایطی مانند گلیوما و تحلیل عصبی دخیل باشند، شناسایی کند. همچنین میتواند توزیع لیتیوم در مغز را که برای درمان اختلالات دوقطبی استفاده میشود، ردیابی کند.
به علت پیچیدگی، Iseult بسیار بزرگتر از سایر دستگاههای MRI است. طول و عرض آن 5 متر، وزن 132 تن و با 182 کیلومتر از سیمهای ابررسانا ساخته شده است. برای خنک نگه داشتن آهنرباها تا دمای 271.35- درجه سانتیگراد حدود 7500 لیتر هلیوم مایع لازم است. این اندازه، پیچیدگی و بدون شک هزینه ممکن است جایی که میتوان از دستگاه Iseult MRI استفاده کرد را محدود کند، اما امیدواریم که به زودی در برخی از امکانات تخصصی به اندازه کافی مفید باشد.


